Thursday, August 19, 2010

It's A...


....another GIRL!

We think Mia will be glad to have a sister so close in age. I'm sure they will play & fight well together, but when they are older they will always be the best of friends.

Here are a few of this child's early glamour shots. It's always a little tough to know what you are looking at, so I will provide captions.

This is a lovely between-the-legs view from underneath, providing the evidence that Mia will indeed have a little sister come January 6th or so.

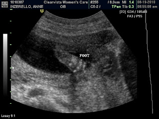
Here is a foot.

Here is the scary-looking skeletal face shot.

Baby Girl's profile, face down


Profile, face up

And a thumbs up from #2. All looks good and everything checks out so far for a healthy baby girl!

9 comments:

  1. Oh, Girl, I'm so excited for you! Yay! Hope your pregnancy is going well.

    ReplyDelete
  2. congrats! I hope you are loving your new home!

    ReplyDelete
  3. Hooray for another girl cousin! Looking forward to our new ones being good friends. Loving the blog updates!!

    ReplyDelete
  4. Congratulations! So exciting! I hope you love Indianapolis!

    ReplyDelete
  5. congratulations, annie! that is so exciting! how is your new place?

    ReplyDelete
  6. Yay! Congrats to you guys!! I had no idea you were expecting again!!

    ReplyDelete
  7. Yipppeeeee! Congrats you guys! Mia will love having a sister. So exciting.
    I'm glad I have your blog now too:)

    ReplyDelete
  8. Congrats! That is so exciting. Two girls is so fun! Hope you guys are well...we miss you!

    ReplyDelete